都说山楂开胃,可你不知道的是,如果食用不当,会引发健康问题。近期,倩倩(化名)姑娘就因为开胃的山楂而进了医院……
1斤多山楂下肚
她腹痛到打滚
倩倩今年19岁,正在杭州一所大学读大二,身体健康,平时几乎不怎么生病。眼下正是山楂大量上市的季节,而糖炒山楂一直是她的心头好。
这天晚上,倩倩买了1斤多糖霜小山楂来吃,结果当天晚上就感到肚子痛。
起初,她还勉强能忍受,心想等期末考试结束回老家再去看医生。可到了第二天,她腹痛却越来越重,疼得直打滚,忍无可忍的她这才来到了杭州市第一人民医院门诊。
巨大石头塞满整个胃
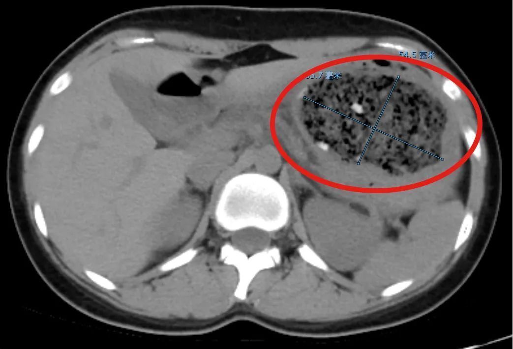
接诊的消化内科副主任杨晶简单问了病史后,给倩倩安排了腹部CT平扫检查,结果发现一个8.6cm×5.5cm左右的巨大异物把她的胃塞得满满当当。

“你吃了多少山楂?”杨晶问。
“一个人吃了1斤多,大概有30多颗……”倩倩怯怯地说。
经验丰富的杨晶立刻做了明确诊断——胃石。
在进一步胃镜检查后,杨晶发现,倩倩胃里面的结石体积庞大,几乎不留什么空隙,这使得常规的异物圈套器无法施展。
为此,杨晶决定先用工具将结石分割成小块,但由于结石太多,如果直接一一取出,会对喉咙造成损伤,他选择让这些小块结石留在里面,并再三嘱咐倩倩,这几天多喝可乐。
根据医嘱,倩倩喝了两天的可乐,果然,四天后复查,检查结果显示,她胃内的结石已完全溶解消失。
很多食物都会引发结石
“只听说柿子吃多了会得柿石,怎么山楂也会引发结石?”倩倩百思不得其解。
对此,杨晶介绍说,我们经常会把“胃石”叫作“柿石”,也会经常把柿子和螃蟹联系在一起,因为柿子的鞣酸含量比较高,鞣酸会与蛋白质结合,就容易形成不溶于水的沉淀物,沉淀物还会吸附胃里的食物残渣,像滚雪球一样越滚越大,形成“柿石”。
其实,胃石并非仅限于柿石,只要富含“鞣酸”的食物,如:香蕉、山楂等,在特定条件下同样可能形成结石,需引起高度警惕。“最近门诊已经收到好几例类似的病例,每年到柿子、山楂上市的季节,更是高发。”杨晶说。
不过,杨晶也表示不用过于恐慌,任何事情都不能“抛开剂量讲毒性”。产生胃结石的前提是柿子里鞣酸含量高且大量食用。未成熟的涩柿子鞣酸含量高达4%以上,而成熟的甜柿子在脱涩处理后,鞣酸含量能显著降至0.1%以下。因此,如果少量食用成熟的甜柿子和螃蟹,一般不会出现胃结石的问题。
为什么可乐能消除结石呢?杨晶解释,这是因为可口可乐含有大量二氧化碳,会产生膨胀效应,而磷酸、柠檬酸和碳酸氢钠,也会和结石中的钙等物质产生化学反应,破坏结石聚合达到溶石的目的。
但需要提醒的是,有胃石特别是合并溃疡症状的患者,不能盲目饮用可乐,因为可乐可能会造成溃疡的进一步加重,要在专业医生的指导下进行,并建议尽早去医院进行综合治疗。
注意健康饮食
不必谈石色变
因为“胃石”住院的病人,虽然惊险,但大多数预后良好。杨晶表示,只要有正确的饮食观念,在满足我们的口福同时,不必谈“石”色变。
1、选择成熟的柿子或山楂等食物;
2、注意摄入量,不可贪吃;
3、避免高蛋白食物共同食用。
4、消化功能差的人群要减少摄入,如老人、儿童要特别注意;
5、进食后注意口腔清洁,避免鞣酸对牙齿造成损伤。
6、如有不适及时入院就诊,千万不可听信偏方治疗。
来源:潮新闻
举报/反馈